细胞免疫疗法在治疗癌症方面再次取得重要突破,这次是晚期乳腺癌。
日前,《自然医学》杂志上刊登的一项研究称,一名罹患晚期转移性乳腺癌的患者,在经过自身免疫细胞的治疗后,全身的肿瘤竟然消失了。
治疗癌症最成功的临床免疫治疗方法,是免疫检查点阻断和过继性T细胞疗法。免疫检查点阻断是通过注射抗体,在患者体内激活T细胞,而在过继性T细胞疗法中,T细胞取自患者的血液或肿瘤,只有那些识别肿瘤的T细胞会被培养,并在之后返回到患者体内。现阶段,这些方法的成功率,会因癌症类型的不同而有很大差异。迄今为止,使用免疫检查点阻断方法治疗乳腺癌的临床试验,已被证明基本无效。由此《自然医学》的评论指出,“此次研究标志着T细胞免疫疗法首次成功应用于晚期乳腺癌”。
据了解,该项研究成果来自美国国立癌症研究所(NCI),由免疫疗法大牛Steven A. Rosenberg教授率领的研究小组主导,参与该临床研究的是一名来自佛罗里达州的49岁的晚期乳腺癌患者,该名患者之前已接受了很多治疗方式,并已产生耐受性,用医生的话来讲,该名患者已经“无药可救”,生存希望渺茫。
研究中,研究人员们先对患者的肿瘤进行了测序,以确定对她的病例有特异性的突变,并在乳腺癌细胞里找到了62种不同的突变,然后,研究人员们在其肿瘤里寻找肿瘤浸润性T细胞,此类免疫细胞有望能识别肿瘤特异的抗原,在分离出这些T细胞后,研究人员立刻开始分析,免疫细胞能否识别这名乳腺癌患者的独有突变。分析的结果并不是很乐观,在62种突变里,这些T细胞仅能识别其中4种。但科学家们没有放弃任何一线生机,由于这些T细胞的数量太少,作用有限,科学家们决定对它们进行大量扩增,再输回到患者体内,在扩增T细胞的期间,这名患者也用上了免疫检查点抑制剂,将免疫系统的状态调整至最佳。
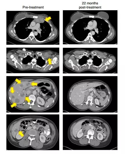
当900亿个免疫细胞被输入患者体内后,奇迹出现了,在6个月后的第一次随访时,患者的目标肿瘤负担锐减一半,而在治疗后的第22个月,从医学影像上看,所有肿瘤都消失了!
22个月后,这名患者的肿瘤(黄色箭头)消失得无影无踪(图片来源:《Nature Medicine》)
研究人员们在分析中指出,同时对多种突变进行治疗,最大程度上避免了肿瘤出现耐药的可能——如果只针对一种突变,剩下的癌细胞尚有喘息和变异之机;而同时针对多种突变,则像是对肿瘤进行了“地毯式轰炸”,不给它们留下任何机会。
研究团队预测,这种方法在其他乳腺癌患者中获得成功的可能性较高。Steven A. Rosenberg表示:“因为这种新的免疫疗法依赖于突变,而不是癌症类型,所以从某种意义上说,它或将是我们可以用来治疗多种癌症的有力武器。”
南安普敦综合医院癌症研究英国中心的教授Peter Johnson也表示:“这是另一个证据,证明某些癌症可以被人体免疫系统识别,如果能以正确的方式刺激,甚至扩散到身体不同部位的癌症也可以治疗。”。
不过,Steven A. Rosenberg及研究团队也强调,该种治疗可能不会对每个人都奏效,在广泛推广之前,有待通过更大规模的对照临床试验加以证实。
来源:医谷网综合报道
为你推荐
资讯 病毒“突变”不等于更强生存力——华山张文宏教授团队发现:敏感性下降,往往伴随适应性下降
玛巴洛沙韦敏感性降低的突变发生率仍然极低(0 05%),未发现典型的I38T耐药突变。
2026-01-24 12:22
资讯 箕星药业宣布成功完成D1轮2.87亿美元融资,推进口服GLP-1药物开发
1月22日消息,箕星药业有限公司(Corxel Pharmaceuticals Limited)宣布已成功完成D1轮融资,募集资金高达2 87亿美元。
2026-01-23 18:00
资讯 基因启明完成亿元天使轮融资,加码iNKT细胞疗法研发与临床转化
本轮融资由人合资本独家投资。融资资金将重点用于推进公司核心iNKT细胞药物的临床试验进程,同时加速新管线的研发拓展与技术平台升级。
2026-01-23 14:05
资讯 商务部、国家发改委、国家卫健委、国家医保局等9部门印发促进药品零售行业高质量发展的意见
鼓励符合监管要求的实体医疗机构、互联网医院与药品零售企业依托电子处方流转平台进行处方流转。鼓励建设非医保药品自费处方电子流转平台,规范和完善相关药学服务。
2026-01-23 11:04
资讯 诺和诺德聚焦零售药店体重管理服务,启动“零售科学减重生态联盟”
1月22日,诺和诺德在福州举办超越·共盈——诺和诺德零售生态伙伴大会,大会汇聚连锁零售药店管理层、临床专家、资深药师、行业智库、零售生态合作伙伴等多方力量,正式启动零...
2026-01-22 21:53
资讯 优赫得在华获批治疗既往接受过一种含曲妥珠单抗治疗方案的局部晚期或转移性HER2阳性成人胃或胃食管结合部腺癌患者
基于DESTINY-Gastric04 III期试验结果,与雷莫西尤单抗+紫杉醇相比,优赫得®可为患者带来具有显著统计学差异和临床意义的总生存期(OS)改善,两年OS率实现翻倍
2026-01-22 17:53
资讯 传奇生物CAR-T细胞药物 Carvykti(西达基奥仑赛)2025年销售额18.87 亿美元,同比增长 95.9%
强生2025年全年收入达到941 93亿美元,同比增长6%,净利润268 04亿美元,同比增长90 6%,调整后净利润262 15亿美元,同比增长8 1%。
2026-01-22 16:48
资讯 从收费难题到医保立项:机器人诊疗迎来普及拐点
2025年12月5日,国家医保局向各省医保局下发了《手术和治疗辅助操作类医疗服务价格项目立项指南(征求意见稿)》,用于在医保体系内部征求意见。
文/梁瑜 2026-01-21 16:48
资讯 英矽智能6600万美元授权一款具有穿透血脑屏障的潜在在研抗炎药物
1月20日,英矽智能发布公告称,与深圳衡泰生物科技有限公司就 ISM8969 项目达成共同开发合作协议。
2026-01-21 15:42
资讯 国家医保局规范手术和治疗辅助操作类医疗服务价格,手术机器人有了系统明确收费指引
近日,国家医保局编制印发《手术和治疗辅助操作类医疗服务价格项目立项指南(试行)》,将已有价格项目规范整合为37项,覆盖医学3D重建、生物3D打印、术中显微成像、手术路径导...
2026-01-21 15:12
资讯 GSK22亿美元收购间接获得中国创新药资产
1月20日,GSK(葛兰素史克)宣布与RAPT Therapeutics达成最终收购协议,根据协议条款,葛兰素史克将以每股58 00美元的现金价格收购RAPTTherapeutics全部已发行普通股,对应股...
2026-01-21 14:33
资讯 182家单位入围2025年人工智能医疗器械创新任务揭榜挂帅,都有哪些项目
近日,工信部办公厅 与国家药监局综合和规划财务司公布2025年人工智能医疗器械创新任务揭榜挂帅入围单位。
2026-01-21 10:32
资讯 上海医药iNKT细胞注射液获批临床试验
1月20日,上海医药集团股份有限公司发布公告称,下属上海医药集团生物治疗技术有限公司自主研发的“B023细胞注射液”收到国家药品监督管理局核准签发的《药物临床试验批准通知书...
2026-01-20 16:49
资讯 蚂蚁阿福升级PC端,面向医生群体上线 DeepSearch功能
今日,蚂蚁阿福升级其 PC 端,并上线DeepSearch(深度搜索)功能打造中国版“Open Evidence”,免费为医生、医学生及基层医疗工作者等泛医学人士提供专业服务。蚂蚁阿福 PC...
2026-01-20 15:56








