2017年,FDA先后批准两款2款CAR-T疗法( Kymriah和Yescarta),用于治疗儿童和年轻成人B细胞急性淋巴细胞白血病,以及特定类型的非霍奇金淋巴瘤。
鉴于它调动的是患者自身的免疫系统,且已在血液癌症中表现出不俗的实力,科学家们希望拓宽CAR-T疗法的应用范畴,包括实体瘤、自身免疫性疾病。
近日,来自University of Tennessee Health Science Center的免疫学家Marko Radic带领团队进行了新的尝试:他们以小鼠为模型证实,使用针对CD19的嵌合抗原受体(CAR)修饰的T细胞可以治疗小鼠狼疮(luppus)。
虽然还只是动物试验,却让科学家们看到了治疗狼疮的新思路。相关研究成果于3月6日发表在《Science Translational Medicine》期刊。
CAR-T疗法应用于自身免疫性疾病?
这一研究思路很简单,因为已上市的两款CAR-T疗法都是通过发现识别蛋白标志物CD19,捕获并破坏B细胞。CD19是所有B细胞的标记,而且B细胞参与了许多自身免疫类疾病(包括狼疮)的发展——B细胞会释放自身抗体,这些抗体会破坏身体组织,并引发T细胞攻击组织。
早在2016年,宾夕法尼亚大学的一研究小组在《Science》期刊发表研究称,利用CAR-T疗法,可以治疗患有寻常天疱疮(pemphigus vulgaris)的小鼠。
系统性红斑狼疮(SLE)是一种难以诊断和治疗的自身免疫性疾病,虽然不少患者过着相对正常的生活,但是也有人因此发生肾衰竭、血栓等可能致命的并发症。
然而按照“B细胞耗竭”的思路,狼疮治疗却遇到了挫折——利妥昔单抗(rituximab,靶向CD20)能够清除B细胞,用于治疗类风湿性关节炎、多发性硬化症以及血癌,但是在两项治疗狼疮的大型临床试验中,这一单抗并未能展现出威力。
新尝试:治疗狼疮
这是否意味着靶向B细胞在狼疮疾病中根本不重要?来自美国匹兹堡大学的免疫学家Mark Shlomchik认为,答案是否定的。
“利妥昔单抗需要巨噬细胞介入并促进B细胞的清除。但是,对于狼疮而言,体内的巨噬细胞处于“瘫痪”状态。这一矛盾在一定程度上导致B细胞无法完全清除。”他解释道。
对比CAR-T,它调动的B细胞杀手是T细胞,无需巨噬细胞的帮助。所以,来自University of Tennessee Health Science Center的免疫学家Marko Radic带领团队进行了相关研究:
他们以患有狼疮的小鼠为模型,在小鼠生病之后,将它们接受全身放射性治疗,以消灭现有的免疫细胞。随后,研究团队将经过基因工程改造的CD19-CAR T细胞注入这41只小鼠体内。
结果显示,有26只小鼠体内的CAR-T细胞通过靶向CD19成功破坏了B细胞,并且这些细胞并没有再出现过。这与接受CAR-T治疗的患者反应类似。大多数小鼠在接受治疗后都存活超1年,且它们的皮肤、肾脏以及其他身体组织都没有出现狼疮迹象。而接受安慰剂治疗的小鼠,都在8-10个月内死亡。
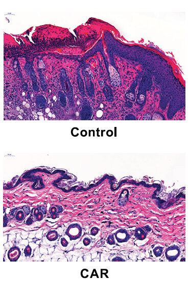
在动物试验中,靶向CD19的CAR-T细胞可以恢复狼疮小鼠的皮肤结构并减少了其中的炎症反应。(图片来源: Science Translational Medicine)
这项动物试验展示了CAR-T疗法治疗小鼠狼疮的能力。但是还有很多疑问,例如为什么剩余的15只小鼠未能响应CAR-T疗法?这是Marko Radic团队接下来想解答的难题。
参考资料:
Genetically engineered immune cells wipe out lupus in mice
Reengineering chimeric antigen receptor T cells for targeted therapy of autoimmune disease
来源:生物探索
为你推荐
资讯 阿斯利康宣布将于2030年前在华投资逾1000亿元人民币,与石药集团达成超百亿美元战略合作
1月29日,阿斯利康宣布,计划于2030年前在中国投资逾1000亿元人民币(150亿美元),以扩大在药品生产与研发领域的布局。公司将充分发挥中国的科研优势和先进制造能力,并依托中...
2026-01-30 13:00
资讯 从“无差别轰炸”到“定点爆破”,我国二线HER2阳性胃癌治疗迎来靶向ADC新突破
近日,优赫得®(注射用德曲妥珠单抗)正式获得中国国家药品监督管理局(NMPA)批准,单药用于治疗既往接受过一种含曲妥珠单抗治疗方案的局部晚期或转移性HER2阳性成人胃或胃食...
2026-01-29 18:54
资讯 18个区域,中医优势病种按病种付费试点地区明确
根据《关于开展中医优势病种按病种付费试点工作的通知》要求,国家医保局、国家中医药局组织专家对申报中医优势病种按病种付费试点的地区开展遴选,经相应程序,确定北京、河北...
2026-01-29 18:16
资讯 合成生物创新企业康诺生物递交港交所上市申请
康诺生物核心业务聚焦于线粒体功能障碍相关疾病的研究,专注于NAD+抗心血管疾病、NAD+抗生殖功能障碍、NAD+抗神经退行性疾病和NAD+抗衰老等领域的科学应用
2026-01-29 18:15
资讯 奥纳再生完成数千万天使轮融资,加速异种移植技术产业化落地
本轮融资由达安创谷领投,黎曼猜想担任独家财务顾问,所筹资金将主要用于核心技术平台建设、现有产品管线研发推进及IND申报工作,助力公司加速异种移植技术的产业化落地,破解全...
2026-01-29 18:00
资讯 施维雅集团2024-2025财年合并销售收入达69亿欧元,同比增长16.2%,美国市场表现卓著
1月27日,全球知名跨国药企施维雅集团正式公布了2024-2025财年的财务业绩。施维雅集团2024-2025财年的合并收入达69亿欧元,超额完成60亿欧元的目标。较上一财年增长16 2%,显现...
2026-01-28 17:20
资讯 时隔23年,新修订的《中华人民共和国药品管理法实施条例》全文
1月27日,《中华人民共和国药品管理法实施条例》正式对外发布,这是时隔23年以来,首次全面修订药品管理法实施条例。
2026-01-28 12:38
资讯 先声药业一款双抗在研药物10.58亿欧元授权勃林格殷格翰
1月26日,先声药业发布公告称,与勃林格殷格翰达成一项许可与合作协议,双方将共同开发先声药业的临床前阶段TL1A IL23p19双特异性抗体SIM0709,用于炎症性肠病(IBD)的治疗。
2026-01-27 17:55
资讯 国家卫健委:新型抗肿瘤药物临床应用指导原则(2025年版)
新型抗肿瘤药物的一个显著特征是出现一批针对分子异常特征的药物——即分子靶向药物。 目前,根据是否需要做靶点检测,可以将常用小分子靶向药物、大分子单抗类药物以及小分子...
2026-01-27 11:46
资讯 CDE:针对泛肿瘤的抗肿瘤药物临床研发技术指导原则
泛肿瘤是从肿瘤起源和病因学等角度,将多种组织来源的肿瘤视为同一类疾病,并且寻求相同的治疗手段。当针对共有的分子改变开发药物时,不同肿瘤的患者均有可能从相同的药物治疗...
2026-01-25 18:54
资讯 病毒“突变”不等于更强生存力——华山张文宏教授团队发现:敏感性下降,往往伴随适应性下降
玛巴洛沙韦敏感性降低的突变发生率仍然极低(0 05%),未发现典型的I38T耐药突变。
2026-01-24 12:22
资讯 箕星药业宣布成功完成D1轮2.87亿美元融资,推进口服GLP-1药物开发
1月22日消息,箕星药业有限公司(Corxel Pharmaceuticals Limited)宣布已成功完成D1轮融资,募集资金高达2 87亿美元。
2026-01-23 18:00
资讯 基因启明完成亿元天使轮融资,加码iNKT细胞疗法研发与临床转化
本轮融资由人合资本独家投资。融资资金将重点用于推进公司核心iNKT细胞药物的临床试验进程,同时加速新管线的研发拓展与技术平台升级。
2026-01-23 14:05
资讯 商务部、国家发改委、国家卫健委、国家医保局等9部门印发促进药品零售行业高质量发展的意见
鼓励符合监管要求的实体医疗机构、互联网医院与药品零售企业依托电子处方流转平台进行处方流转。鼓励建设非医保药品自费处方电子流转平台,规范和完善相关药学服务。
2026-01-23 11:04
资讯 诺和诺德聚焦零售药店体重管理服务,启动“零售科学减重生态联盟”
1月22日,诺和诺德在福州举办超越·共盈——诺和诺德零售生态伙伴大会,大会汇聚连锁零售药店管理层、临床专家、资深药师、行业智库、零售生态合作伙伴等多方力量,正式启动零...
2026-01-22 21:53







