乳腺癌是女性中最常见的癌症,这类癌症的生长大多数依赖体内的雌激素水平。雌激素受体阳性(ER+)乳腺癌经常使用他莫西芬治疗,这类药物的作用是阻断激素对肿瘤的影响。然而,许多患者的肿瘤最终会对他莫西芬产生耐药性,从而导致癌症复发或转移。
4月17日,来自哈佛医学院等机构的科学家们在1篇Nature论文[1]中揭示了一种名为亮氨酸的氨基酸与他莫西芬耐药性形成之间意向不到的关联。此外,研究还发现了一种可将亮氨酸导入细胞的关键蛋白,该蛋白可调节ER+乳腺癌细胞对他莫西芬的敏感性。
亮氨酸是必须通过食物获取的9种必需氨基酸之一。牛肉、鸡肉、猪肉和鱼都富含亮氨酸。先前已有研究证实,减少总亮氨酸的摄入能够改善新陈代谢。由于细胞本身不能产生亮氨酸,因此科学家们能够操纵培养皿中细胞暴露于亮氨酸的水平,以观察这种氨基酸对来源于人类的ER+乳腺癌细胞生长的影响。
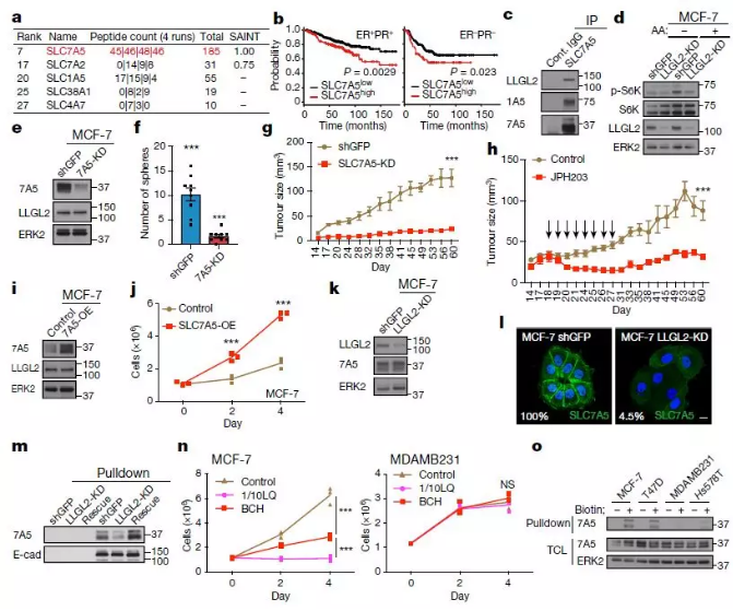
SLC7A5调节ER+乳腺癌细胞的增殖(图片来源:Nature)
这项研究显示,亮氨酸水平降低抑制了ER+乳腺癌细胞的分裂,反之亦然。令人惊讶的是,科学家们还发现,尽管亮氨酸水平较低,对他莫西芬产生耐药性的细胞仍能生长。
进一步的研究表明,一个名为SLC7A5的表面蛋白是细胞将亮氨酸运到胞内所必需的。在对他莫西芬耐药的ER+乳腺癌细胞中,这种蛋白表达水平较高。研究显示,提高SLC7A5水平可以使细胞吸收更多的亮氨酸,且足以使乳腺癌细胞对他莫西芬耐药;而SL7A5抑制剂治疗能够使得小鼠ER+肿瘤缩小。这表明,抑制SLC7A5可能是治疗ER+乳腺癌一种潜在的方法。
图片来源:Nature
领导该研究的Senthil K. Muthuswamy博士认为,这项成果揭示了一种克服ER+乳腺癌患者对激素疗法耐药的潜在新策略,也为低亮氨酸饮食可能对ER+乳腺癌患者有益提供了证据。由低亮氨酸植物蛋白组成的饮食可能是ER+乳腺癌患者更好的选择。
接下来,Muthuswamy博士团队将调查是否限制亮氨酸的饮食能够阻止小鼠中ER+乳腺癌细胞的生长或增强癌细胞对治疗的响应。研究人员表示,类似的临床试验价值巨大,因为如果试验结果如人意,那么,将提供改善ER+乳腺癌治疗非常简单的方法。
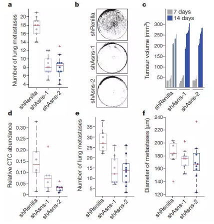
近年来,调查氨基酸对肿瘤发生、发展以及治疗的影响是热门研究方向之一。除了影响乳腺癌的耐药性,去年2月,英国剑桥大学的科学家们在另1篇Nature论文[2]中证实,天冬酰胺(一种非必需氨基酸,机体可合成) 是防止三阴性乳腺癌(TNBC,占所有乳腺癌的12%-20%)扩散的关键。当小鼠被喂以低天冬酰胺饮食,或用药物来阻断天冬酰胺,肿瘤就很难扩散了。
具体来说,研究发现,原发性肿瘤中天冬酰胺合成酶(细胞利用该酶来制造天冬酰胺)的出现与之后的癌症扩散密切相关。利用化疗药物L-asparaginase处理或饮食限制减少天冬酰胺合成酶后,癌症转移受到了极大的限制。而当实验小鼠被喂以富含天冬酰胺的食物时,癌细胞扩散得更快了。
天冬酰胺作为癌症侵袭和转移的驱动因素(图片来源:Nature)
基于这一发现,领导该研究的Gregory J. Hannon教授及其同事考虑进行1项早期临床试验,在此试验中,健康的参与者将采用“低天冬酰胺饮食”。如果这类饮食能导致天冬酰胺水平下降,下一步,他们将启动招募癌症患者的临床试验。
总结来说,这些不断发表的证据表明,患者饮食对癌症治疗具有非常重要的意义。不过,需要强调的是,尽管这些研究都刊登在顶级期刊上,但在临床试验结果出来前,患者不应该在不与医生交流的情况下从饮食中完全排除任何特定的营养组成。
相关论文:
[1]Yasuhiro Saito et al. LLGL2 rescues nutrient stress by promoting leucine uptake in ER+ breast cancer. Nature(2019).
[2] Simon R. V. Knott et al. Asparagine bioavailability governs metastasis in a model of breast cancer. Nature(2018).
参考资料:
1# Diet high in leucine may fuel breast cancer's drug resistance
2# Diet may influence the spread of a deadly type of breast cancer, study finds
来源: 医药魔方 作者:曼话
为你推荐
资讯 阿斯利康宣布将于2030年前在华投资逾1000亿元人民币,与石药集团达成超百亿美元战略合作
1月29日,阿斯利康宣布,计划于2030年前在中国投资逾1000亿元人民币(150亿美元),以扩大在药品生产与研发领域的布局。公司将充分发挥中国的科研优势和先进制造能力,并依托中...
2026-01-30 13:00
资讯 从“无差别轰炸”到“定点爆破”,我国二线HER2阳性胃癌治疗迎来靶向ADC新突破
近日,优赫得®(注射用德曲妥珠单抗)正式获得中国国家药品监督管理局(NMPA)批准,单药用于治疗既往接受过一种含曲妥珠单抗治疗方案的局部晚期或转移性HER2阳性成人胃或胃食...
2026-01-29 18:54
资讯 18个区域,中医优势病种按病种付费试点地区明确
根据《关于开展中医优势病种按病种付费试点工作的通知》要求,国家医保局、国家中医药局组织专家对申报中医优势病种按病种付费试点的地区开展遴选,经相应程序,确定北京、河北...
2026-01-29 18:16
资讯 合成生物创新企业康诺生物递交港交所上市申请
康诺生物核心业务聚焦于线粒体功能障碍相关疾病的研究,专注于NAD+抗心血管疾病、NAD+抗生殖功能障碍、NAD+抗神经退行性疾病和NAD+抗衰老等领域的科学应用
2026-01-29 18:15
资讯 奥纳再生完成数千万天使轮融资,加速异种移植技术产业化落地
本轮融资由达安创谷领投,黎曼猜想担任独家财务顾问,所筹资金将主要用于核心技术平台建设、现有产品管线研发推进及IND申报工作,助力公司加速异种移植技术的产业化落地,破解全...
2026-01-29 18:00
资讯 施维雅集团2024-2025财年合并销售收入达69亿欧元,同比增长16.2%,美国市场表现卓著
1月27日,全球知名跨国药企施维雅集团正式公布了2024-2025财年的财务业绩。施维雅集团2024-2025财年的合并收入达69亿欧元,超额完成60亿欧元的目标。较上一财年增长16 2%,显现...
2026-01-28 17:20
资讯 时隔23年,新修订的《中华人民共和国药品管理法实施条例》全文
1月27日,《中华人民共和国药品管理法实施条例》正式对外发布,这是时隔23年以来,首次全面修订药品管理法实施条例。
2026-01-28 12:38
资讯 先声药业一款双抗在研药物10.58亿欧元授权勃林格殷格翰
1月26日,先声药业发布公告称,与勃林格殷格翰达成一项许可与合作协议,双方将共同开发先声药业的临床前阶段TL1A IL23p19双特异性抗体SIM0709,用于炎症性肠病(IBD)的治疗。
2026-01-27 17:55
资讯 国家卫健委:新型抗肿瘤药物临床应用指导原则(2025年版)
新型抗肿瘤药物的一个显著特征是出现一批针对分子异常特征的药物——即分子靶向药物。 目前,根据是否需要做靶点检测,可以将常用小分子靶向药物、大分子单抗类药物以及小分子...
2026-01-27 11:46
资讯 CDE:针对泛肿瘤的抗肿瘤药物临床研发技术指导原则
泛肿瘤是从肿瘤起源和病因学等角度,将多种组织来源的肿瘤视为同一类疾病,并且寻求相同的治疗手段。当针对共有的分子改变开发药物时,不同肿瘤的患者均有可能从相同的药物治疗...
2026-01-25 18:54
资讯 病毒“突变”不等于更强生存力——华山张文宏教授团队发现:敏感性下降,往往伴随适应性下降
玛巴洛沙韦敏感性降低的突变发生率仍然极低(0 05%),未发现典型的I38T耐药突变。
2026-01-24 12:22
资讯 箕星药业宣布成功完成D1轮2.87亿美元融资,推进口服GLP-1药物开发
1月22日消息,箕星药业有限公司(Corxel Pharmaceuticals Limited)宣布已成功完成D1轮融资,募集资金高达2 87亿美元。
2026-01-23 18:00
资讯 基因启明完成亿元天使轮融资,加码iNKT细胞疗法研发与临床转化
本轮融资由人合资本独家投资。融资资金将重点用于推进公司核心iNKT细胞药物的临床试验进程,同时加速新管线的研发拓展与技术平台升级。
2026-01-23 14:05
资讯 商务部、国家发改委、国家卫健委、国家医保局等9部门印发促进药品零售行业高质量发展的意见
鼓励符合监管要求的实体医疗机构、互联网医院与药品零售企业依托电子处方流转平台进行处方流转。鼓励建设非医保药品自费处方电子流转平台,规范和完善相关药学服务。
2026-01-23 11:04










