一个世纪前,一种神秘的疾病在非洲大规模暴发并迅速蔓延,十年间在刚果盆地造成50多万人死亡,在乌干达夺走20多万人的生命。
无论是世代生活在这片土地的非洲人,还是涌入这块大陆的欧洲殖民者,都不知道病因何来、如何抵抗,只知道染病的人会精神错乱、昏睡不醒,最终死亡。
人们花了一百多年的时间试图了解和控制这种昏睡病。今天,它藏身于最为贫困和偏僻难至的角落,威胁着36个国家的6500万人口。
百年前露面的凶手
2011年,昏睡病差点把帕拉西德(Placide)从他的母亲身边夺走。这个5岁的男孩生活在刚果民主共和国的一个村庄,这是如今昏睡病最为严重的地方。和许多染病的村民一样,帕拉西德整天昏昏沉沉,十分虚弱,甚至吃饭吃到一半就会睡着。
刚果并不是一个发达的国度,一个个村庄散落在森林和草原,有些地方还不断有武装冲突,专程去一趟医疗中心并不容易。因此,许多染病的村民面对头痛发烧、略感疲惫的症状,并不会太在意,往往只有到了病重之后才会主动求医。
帕拉西德的病情已经到了非去不可的地步了。在医疗中心,他被诊断患有昏睡病,即“非洲人类锥虫病”(human African trypanosomiasis,简称HAT)。医务人员检查发现,此时帕拉西德已经进入疾病的第2阶段,这意味着疾病已经开始攻击他的大脑!这就是他无精打采、神志昏沉的原因。
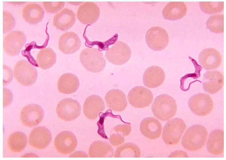
而疾病的根源叫做锥虫,这是一种长度只有0.02毫米左右的寄生虫。一个世纪前的那场昏睡病大流行,正与它有关。
当时,英国殖民地乌干达是疫情最为严重的地区之一,这场可怕的灾难引起了英国政府的关注。于是,政府派出一支由科学家和医生组成的远征队,寻找昏睡病的病因,而苏格兰医生大卫·布鲁斯(David Bruce)也在其中。先前,布鲁斯医生和他身为微生物学家的妻子曾前往南非,研究当地一种叫做“那加那”的疾病。与昏睡病类似,那加那病会导致牛、马等牲畜虚弱、昏睡和死亡。布鲁斯夫妇发现,这些家畜在被一种叫采采蝇(tsetse fly)的昆虫叮咬后就有机会患病。而在患病动物的血液中,他们发现了一种新寄生虫。根据这些观察结果,他们敏锐地猜测,牲畜所患的那加那病和采采蝇、寄生虫之间有联系。
正是由于这一段独特的经历,1903年,被派往乌干达负责调查昏睡病病因的布鲁斯医生很快就研究确认,与那加那病有关的寄生虫,也正是造成人们感染昏睡病的凶手!为了纪念他的贡献,这种致病寄生虫被命名为“布氏锥虫”(Trypanosoma brucei)。
显微镜下可以看到血液涂片中弯曲扭动的锥虫(图片来源:Photo Credit:Content Providers: CDC/Dr. Myron G. Schultz [Public domain])
在科学家揭发出昏睡病“凶手”布氏锥虫和“帮凶”采采蝇之后,人们开始采取相应的措施来控制疾病:流动工作队在有感染风险的人群中组织了主动筛查工作,国际社会提供了喷洒杀虫剂灭除传播媒介采采蝇,扑杀疑似携带疾病的野生动物等支持。在多方努力之下,昏睡病曾一度得到有效控制。在1940年代,非洲每年报告的病例数约为5万。到1960年代中期,按照世界卫生组织的数据,整个非洲大陆报告发生的病例不足5000例。照这个趋势,我们很快就能消灭这种疾病。
然而在复杂的政局面前,人类与疾病数十年的斗争显得不堪一击——非洲的战乱和暴动破坏了已有的成果,无可避免地导致昏睡病卷土重来。在1990年代,昏睡病又一次流行,病例数飙升到50年前的水平,1999年时病例将近3.7万。
攻克昏睡病,需要去最遥远的角落
昏睡病肆虐之下,我们的治疗方法却捉襟见肘。
直到2009年以前,针对锥虫感染最常使用的药物之一是美拉胂醇(melarsoprol)。顾名思义,这是一种砷的衍生物,药物的毒性会导致每20个病人里就有1人死于不良反应。不仅如此,在某些疫区还发现,这种药的耐药性开始上升。
另一种毒性较小的特效药物叫依氟鸟氨酸(eflornithine),在1990年被批准用于治疗昏睡病。然而,这种药物的疗程复杂,难以施用。尤其是在昏睡病高发的非洲农村地区,医疗设备和医务人员的紧缺让这种治疗方案的实施面临重重阻碍。
2009年,包括非营利性药物研发组织DNDi(被忽视疾病药物倡议)、无国界医生组织等在内的国际合作组织开发了一种称为NECT的联合疗法,由硝呋替莫和依氟鸟氨酸联合使用,比单用依氟鸟氨酸简便,安全性和治疗效果也大大改善。
脑脊液的抽取让许多患者痛苦不堪(图片来源:Blausen.com staff (2014). “Medical gallery of Blausen Medical 2014”. WikiJournal of Medicine 1 (2). DOI:10.15347/wjm/2014.010. ISSN 2002-4436. [CC BY 3.0])
确诊患有昏睡病后,帕拉西德接受的正是NECT的治疗。由于它只适用于晚期昏睡病,在用药之前,医生们还需要确认寄生虫是否真的已经进入了他的中枢神经系统。为此,医生们必须将注射器的针头从帕拉西德的后腰刺入脊椎,取出椎管内的脑脊液,检验其中是不是有锥虫的存在,这段经历让他痛苦不堪。
这还没有包括接下来的连续14天静脉注射。
NECT疗法最终治愈了帕拉西德的昏睡病,但腰椎穿刺的痛苦给小小年纪的他留下了阴影。多年后,当医疗人员问他是否还记得小时候那场差点夺走他性命的疾病,他点点头,指了指后腰。
而在非洲,帕拉西德还算是幸运的。在当地,并没有多少人有条件住上两周医院——对成年患者来说,这么长的住院时间意味着失去工作和收入,加剧贫困。更别说长途跋涉前往医疗中心还可能需要额外的时间和费用。此外,医疗中心的后勤设备和人员配备极度有限,患者住院期间需要家人提供食物,进一步加重家庭负担。
更不用说在一些更为偏僻和饱受战乱影响的地区,输液包的运输、电力和无菌设备的供应也都是问题。甚至,医院都很难找到具有腰椎穿刺和静脉注射技术的医务人员,这让昏睡病患者难以获得有效诊治。
有没有更好的治疗方法?
首款全口服新药
开发更“好”的疗法意味着要满足很多条件:安全有效,施用方便简单,足以由非专业人员提供,不需要长时间依赖卫生服务,最好可以让患者在家中治疗,并且适用于早期和晚期昏睡病,以避免通过令人痛苦的腰椎穿刺来确认疾病阶段。
另一方面,如今昏睡病只影响撒哈拉沙漠以南地区的贫穷国家人民,世界上大多数地区的人不会觉得自己受到它的威胁,因此这种疾病难以得到公众、企业、政府的关注。但众所周知,新药物的研发需要投入极大的资源,谁愿意来承担这样的任务?
曾开发出NECT联合疗法的DNDi勇敢接受了新挑战。“昏睡病是我们主要关注的一个领域,”在DNDi负责药物研发项目的查尔斯·莫布雷(Charles Mowbray)博士说,“我们一直在努力找出一些使用简便的口服疗法,以便将它们分发到最基础的医疗机构,甚至是对基础设施要求最低的乡村机构。”
2011年,DNDi开启了先导化合物的快速筛选,以对抗细胞内的寄生虫。作为长期合作伙伴,药明康德研究服务部药物研发国际服务部(IDSU)团队很高兴能够在短短2年时间内,协助DNDi完成了近20个结构类似的5-硝基咪唑(5-nitroimidazole)衍生物化合物,以及上百个苯并氧杂硼(benzoxaborole)化合物的设计与合成。在此基础上,DNDi快速启动了生物测试,分别从中筛选出非昔硝唑(fexinidazole)和acoziborole(SCYX-7158),作为临床前候选化合物提交。
2012年,DNDi在刚果和中非民主共和国的多处,包括帕拉西德曾接受过治疗的医疗中心在内,启动了非昔硝唑治疗昏睡病的关键临床试验,最终在2017年完成试验。对200多万人进行昏睡病筛查后,研究人员们纳入了包括早期和晚期两个疾病阶段的749名昏睡病患者,并在成人患者和儿童患者中都验证了该药作为一线疗法的有效性和安全性。
临床试验的积极结果很快让非昔硝唑在2018年11月正式获得了欧洲药物管理局的批准。几周后,它在刚果民主共和国注册上市。这不仅是30年来首款对晚期昏睡病有疗效的新药,更是一种被证明对昏睡病早、晚期都有效的全口服药,这意味着可以让患者少住院,少做腰椎穿刺。
“那些昏睡症的患者大多来自刚果最偏远的地区,是最弱势的群体,他们需要的是一种安全、高效并且简单的治疗方法。”负责非昔硝唑临床试验的顾问专家维克托·康德(Victor Kande)医生说道:“全口服的昏睡病药物是我从业几十年来的梦想。现在,非昔硝唑实现了我的这一梦想。在战胜昏睡病这一致命疾病的历程中,它是一个巨大的飞跃。”
另一款在研新药Acoziborole(SCYX-7158)于2015年在法国完成了1期试验。这项对128名健康志愿者的试验验证了其安全性、耐受性、药代动力学和药效学。2016年在刚果民主共和国,研究人员们启动了关键性临床2/3期试验,在早期阶段和晚期阶段的患者中评估单次口服的有效性和安全性。截至2019年2月,登记的患者已有191例。未来,它有望为这些最为贫困的患者带来又一款新疗法。
后记
尽管昏睡病被称为被忽视疾病,但没有一个生命可以被忽视。现在,新的口服疗法将帮助最偏远的昏睡病患者满足治疗需求,最终迈向世界卫生组织定下的目标:人类到2020年彻底消灭这种疾病。
更令人欣喜的是,昏睡病新药的成功例子也正激励来自公共卫生、临床医学、合成化学等各个领域的专家,合力在向利什曼病(Leishmaniasis)、查加斯病(Chagas)、丝虫感染病等更多“被忽视疾病”发起攻坚战。期待在我们的有生之年就可以看到这些“被忽视的疾病”成为“被消灭的疾病”。
参考资料:
[1] Human African trypanosomiasis. Retrieved Apr. 10, from https://www.who.int/trypanosomiasis_african/country/history/en/index3.html
[2] 被人遗忘的昏睡病。Retrieved Apr. 10, from https://songshuhui.net/archives/285
[3] HUMAN AFRICAN TRYPANOSOMIASIS / SLEEPING SICKNESS. Retrieved Apr. 10, from https://www.dndi.org/annualreport2017/diseases/human-african-trypanosomiasis/
[4] FEXINIDAZOLE (HAT). Retrieved Apr. 10, from https://www.dndi.org/diseases-projects/portfolio/fexinidazole/
[5] ACOZIBOROLE. Retrieved Apr. 10, from https://www.dndi.org/diseases-projects/portfolio/acoziborole/
来源: 药明康德
为你推荐
资讯 阿斯利康宣布将于2030年前在华投资逾1000亿元人民币,与石药集团达成超百亿美元战略合作
1月29日,阿斯利康宣布,计划于2030年前在中国投资逾1000亿元人民币(150亿美元),以扩大在药品生产与研发领域的布局。公司将充分发挥中国的科研优势和先进制造能力,并依托中...
2026-01-30 13:00
资讯 从“无差别轰炸”到“定点爆破”,我国二线HER2阳性胃癌治疗迎来靶向ADC新突破
近日,优赫得®(注射用德曲妥珠单抗)正式获得中国国家药品监督管理局(NMPA)批准,单药用于治疗既往接受过一种含曲妥珠单抗治疗方案的局部晚期或转移性HER2阳性成人胃或胃食...
2026-01-29 18:54
资讯 18个区域,中医优势病种按病种付费试点地区明确
根据《关于开展中医优势病种按病种付费试点工作的通知》要求,国家医保局、国家中医药局组织专家对申报中医优势病种按病种付费试点的地区开展遴选,经相应程序,确定北京、河北...
2026-01-29 18:16
资讯 合成生物创新企业康诺生物递交港交所上市申请
康诺生物核心业务聚焦于线粒体功能障碍相关疾病的研究,专注于NAD+抗心血管疾病、NAD+抗生殖功能障碍、NAD+抗神经退行性疾病和NAD+抗衰老等领域的科学应用
2026-01-29 18:15
资讯 奥纳再生完成数千万天使轮融资,加速异种移植技术产业化落地
本轮融资由达安创谷领投,黎曼猜想担任独家财务顾问,所筹资金将主要用于核心技术平台建设、现有产品管线研发推进及IND申报工作,助力公司加速异种移植技术的产业化落地,破解全...
2026-01-29 18:00
资讯 施维雅集团2024-2025财年合并销售收入达69亿欧元,同比增长16.2%,美国市场表现卓著
1月27日,全球知名跨国药企施维雅集团正式公布了2024-2025财年的财务业绩。施维雅集团2024-2025财年的合并收入达69亿欧元,超额完成60亿欧元的目标。较上一财年增长16 2%,显现...
2026-01-28 17:20
资讯 时隔23年,新修订的《中华人民共和国药品管理法实施条例》全文
1月27日,《中华人民共和国药品管理法实施条例》正式对外发布,这是时隔23年以来,首次全面修订药品管理法实施条例。
2026-01-28 12:38
资讯 先声药业一款双抗在研药物10.58亿欧元授权勃林格殷格翰
1月26日,先声药业发布公告称,与勃林格殷格翰达成一项许可与合作协议,双方将共同开发先声药业的临床前阶段TL1A IL23p19双特异性抗体SIM0709,用于炎症性肠病(IBD)的治疗。
2026-01-27 17:55
资讯 国家卫健委:新型抗肿瘤药物临床应用指导原则(2025年版)
新型抗肿瘤药物的一个显著特征是出现一批针对分子异常特征的药物——即分子靶向药物。 目前,根据是否需要做靶点检测,可以将常用小分子靶向药物、大分子单抗类药物以及小分子...
2026-01-27 11:46
资讯 CDE:针对泛肿瘤的抗肿瘤药物临床研发技术指导原则
泛肿瘤是从肿瘤起源和病因学等角度,将多种组织来源的肿瘤视为同一类疾病,并且寻求相同的治疗手段。当针对共有的分子改变开发药物时,不同肿瘤的患者均有可能从相同的药物治疗...
2026-01-25 18:54
资讯 病毒“突变”不等于更强生存力——华山张文宏教授团队发现:敏感性下降,往往伴随适应性下降
玛巴洛沙韦敏感性降低的突变发生率仍然极低(0 05%),未发现典型的I38T耐药突变。
2026-01-24 12:22
资讯 箕星药业宣布成功完成D1轮2.87亿美元融资,推进口服GLP-1药物开发
1月22日消息,箕星药业有限公司(Corxel Pharmaceuticals Limited)宣布已成功完成D1轮融资,募集资金高达2 87亿美元。
2026-01-23 18:00
资讯 基因启明完成亿元天使轮融资,加码iNKT细胞疗法研发与临床转化
本轮融资由人合资本独家投资。融资资金将重点用于推进公司核心iNKT细胞药物的临床试验进程,同时加速新管线的研发拓展与技术平台升级。
2026-01-23 14:05
资讯 商务部、国家发改委、国家卫健委、国家医保局等9部门印发促进药品零售行业高质量发展的意见
鼓励符合监管要求的实体医疗机构、互联网医院与药品零售企业依托电子处方流转平台进行处方流转。鼓励建设非医保药品自费处方电子流转平台,规范和完善相关药学服务。
2026-01-23 11:04









