治疗癌症?你大概会想到手术、放疗、化疗和免疫治疗等方法,不过,你知道吗,“光”也能对付癌症!
光动力疗法是一项问世于二十世纪70年代末,并在近几年得到迅猛发展的选择性治疗新技术。该疗法拥有创伤小,选择性好且毒性低,无耐药性的优点。
实现深层肿瘤的光学成像与诊疗一直是生物医学和光学等交叉学科研究领域科研人员的努力方向。中科院上海光机所同香港科技大学合作,近期在双光子光动力治疗研究中,利用800nm飞秒激光实现了小鼠深度肿瘤诊疗,为深层组织肿瘤治疗提供了新的诊疗方案。相关论文”AlPcS-loaded gold nanobipyramids with high two-photon efficiency for photodynamic therapy in vivo”发表在学术期刊Nanoscale上。
三步看懂光动力疗法
光动力疗法是利用光敏剂、激光和氧分子三种要素治疗肿瘤的一种全新方法。看到这里,你脑袋中是不是有一大堆的疑问:双光子是什么?光敏剂又是什么?它们究竟怎样治疗肿瘤的呢?
双光子:单位光敏剂被激光激发时,需要两个光子同时参与反应。
光敏剂:在光动力治疗过程中可以吸收光子并把能量传递给氧分子的化合物,它相当于传递能量的中介机构。
双光子动力学疗法治疗肿瘤主要分为三步:
第一步,精准识别肿瘤细胞。这一步主要由光敏剂与光敏剂递送载体共同完成。光敏剂递送载体就像是一辆与光敏剂相匹配的运输车,将光敏剂运送到目标位置。目前相对高效准确的方式是在载体表面或光敏剂上修饰靶向分子,可以与肿瘤细胞表面的受体进行结合而不会与正常细胞结合,进而通过内吞功能进入肿瘤细胞。
第二步,激光照射标记区。当没有光照射时,光敏剂具有很好的暗稳定性,会“安静”的待在肿瘤细胞内部,基本不会产生毒副作用。而当激光照射到肿瘤组织时,负载光敏剂的递送载体会被两个光子所激发到达单线态,通过系间窜跃到达三线态,因为在三线态的寿命较长,可以与周围的氧气、水等发生反应产生单线态氧、超氧根离子、自由基等活性物质,这些活性物质具有强氧化性或强还原性。
第三步,消灭肿瘤细胞。活性氧消灭癌细胞的途径主要有三种:一种是破坏肿瘤组织附近的微血管,引起病灶血供不足,间接导致肿瘤细胞死亡;另一种是可以与细胞内蛋白、DNA、脂质等结合使细胞失活导致肿瘤细胞凋亡、坏死或自体吞噬;还有一种方式是局部诱发非特异性应急炎性反应以及后期的一系列免疫反应,对于抑制和破坏肿瘤具有持续性的系统效应。
如何解决两大难题?
目前,基于光动力学疗法的光敏剂已投入临床使用。比如:光敏剂苯并卟啉衍生物单酸在 2000 年被美国食品与药品监督管理局 (FDA) 批准用于癌症和视网膜黄斑变性的临床治疗;我国第二军医大学研制的血卟啉单甲醚也已经上市,被批准用于鲜红斑痣的临床治疗。
但是,光动力疗法的临床应用目前局限于皮肤疾病或者浅表肿瘤。该疗法存在的不足之处主要是:1。光敏剂对肿瘤组织缺乏足够的靶向性以及光毒性等缺陷;所谓光毒性是指光动力治疗结束后,光敏剂无法立即代谢排出体外,当病人接触太阳光、日光灯等光线时,滞留在正常组织内的光敏剂依然可以进行光动力治疗,破坏正常细胞,产生光毒性;2。 由于光敏剂需要与光发生反应,而光在人体组织的穿透能力较差,所以很难进行深层治疗。
这次,上海光机所在光动力疗法研究方面主要解决了光穿透能力差的难题。
他们设计并试用了新型金纳米双锥体来负载光敏剂。
金纳米双锥体具有化学惰性和很小的生物毒性,更强的局部电场增强和极高的双光子截面作用。其双光子作用截面比光敏剂本身要高几个数量级,可以更高效地将能量转移到附着的光敏剂上,间接地使氧分子敏化,产生更多的活性氧。
为了能够使光线到达更深入的部位,他们采用生物光学窗口( 即光在生物组织内穿透深度达到最大值的波长区间)的800nm的飞秒脉冲激光照射被标记的部位,同时该波长的激光对正常组织和细胞也具有较小的光毒性。
双光子治癌 效果到底怎么样?
这种疗法对治疗深层的癌症究竟有没有作用?还是用实验数据来说话吧。
实验人员建立了小鼠肿瘤模型。肿瘤生长2周,体积达到约100-150mm3的大小时,实验人员将携带肿瘤的小鼠随机分成四组,设置了4组实验:
1。 缓冲溶液(PBS)组;
2。 光敏剂:铝酞菁(AlPcS)组;
3。 光敏剂递送载体:金纳米双锥体(GBP);
4。 光敏剂与递送载体的复合物(GBP-AlPcS)。
第一组实验作为对照组,其他三组作为实验组。
对四组小鼠分别注射相应的药物,然后在注射后2小时后,用2.8W/cm2的强度进行30分钟的800nm飞秒激光照射。分别在第1天和第9天给小鼠注射药物并照射。治疗后每两天测量体重和肿瘤大小,最终在开始治疗18天后,取出代表性小鼠的肿瘤组织。对比疗法的肿瘤治疗效果以及其对生物体的毒副作用。
实验结果如下图所示:
小鼠体重与肿瘤体积随时间的变化(图片来源:论文)
四组实验后肿瘤的状态(图片来源:论文)
结果表明:第4组存在明显的肿瘤生长抑制。图2-A表明,所有组的体重呈现适度增长,存活率为100%,说明选用的治疗诊断剂没有明显的急性毒性。图2-B趋势显示在800nm fs照射下的GBP-AlPcS对肿瘤的生长抑制效果是显著的。图3观察到第4组小鼠肿瘤部位出现明显的出血性损伤,意味着有效的肿瘤抑制作用。而在研究期间,第1和2组中的肿瘤显著生长,表明单独的光照射和单独的AlPcS注射都不能抑制肿瘤生长。
此实验表明GBP-AlPcS治疗诊断剂没有明显的急性毒性,而且能明显抑制体内深部组织肿瘤的生长。
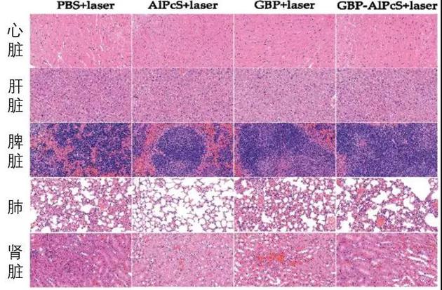
为了进一步了解各种方法的治疗效果,对各组被治疗小鼠肿瘤组织,以及心脏、肝脏、脾脏、肺、肾脏器官分别进行处理观察,实验结果分别如图4、图5所示:
各实验组肿瘤切片的细胞形态(上)与细胞凋亡(下)(图片来源:论文)
来自实验小鼠的主要器官的染色图像(图片来源:论文)
如图4所示,仅在具有GBP-AlPcS治疗的肿瘤中观察到明显广泛的肿瘤坏死。在GBP治疗组中,散发的坏死区域被恶性细胞包围,并伴有核异型。这可能是由于fs激光照射下GBP的光热效应。在PBS-和游离的AlPcS处理组中,H&E和TUNEL染色切片未显示任何明显的肿瘤坏死。结果表明,GBP-AlPcS可用作高效的双光子动力学治疗药剂。
如图5表明,药物包括游离AlPcS,GBP和GBP- AlPcS治疗,对包括心脏,肝脏,脾脏,肺脏和肾脏在内的正常组织没有显著损伤,代表此疗法对正常组织没有可观测到的副作用或毒性。
未来:穿透力+高精准度都需要!
复合物GBP-AlPcS具有从概念验证到真实临床实践的临床转化的巨大潜力,实验结果表明该系统具有改善传统光动力疗法的治疗深度和精确度。
下一步研究计划中,研究人员将寻找穿透力更强的光源以及与之匹配的合适的光敏剂,力求在肿瘤治疗中同时实现穿透力和高精准度。
未来,癌症可能真的能实现“一扫而光”!
作者单位:中国科学院上海光学精密机械研究所
来源:科学大院
为你推荐
资讯 贺普药业乙肝创新药物获突破性进展
近日,第76届美国肝病研究协会(AASLD)年会在美国华盛顿开幕。由上海贺普药业研发的乙肝创新药贺普拉肽临床研究取得突破性进展,以大会报告形式公布了治疗慢性乙肝II期随机双盲...
2025-11-10 20:57
资讯 远大医药复方鼻喷剂莱特灵®国内成功获批,过敏性鼻炎迎全新复方治疗方案
全球创新药Ryaltris®复方鼻喷剂(“GSP 301 NS”或“莱特灵®”)已获国家药监局颁发药品注册证书,且在药品审评过程中未收到补充资料通知,实现“零发补”获批上市。
2025-11-10 17:37
资讯 创新医疗国际合作新范本,复星凯瑞与沙特Fakeeh共拓细胞治疗新里程
此次签约聚焦CAR-T细胞治疗领域,双方就共同推进该技术在沙特的临床落地和本地化发展达成了合作意向。
2025-11-10 17:32
资讯 安永吴晓颖:从“辅助工具”到“核心能力”,生成式 AI 将重塑医疗器械行业竞争格局
第八届中国国际进口博览会上,安永正式发布《生成式人工智能在医疗器械行业潜在应用》白皮书。
文/张蓉蓉 2025-11-10 16:26
资讯 科莱恩大亚湾制药产能升级落地,加码药用辅料与原料药布局
近日,科莱恩在惠州大亚湾生产基地举行护理化学品扩建项目投产仪式,此次 8000 万瑞士法郎(约7亿人民币)的战略投资中,制药领域产能升级成为核心亮点。
文/张蓉蓉 2025-11-10 15:33
资讯 “医药险协同聚力,让生命无惧风雨”,罗氏医药险生态联盟启动
11月7日,在第八届中国国际进口博览会上,罗氏制药展台举行了“以患者为中心,聚力守护新生”为主题的医药险生态联盟仪式。
2025-11-10 09:56
资讯 华东医药FIC三重激动剂DR10624最新临床数据披露,降低甘油三酯达75%,减少肝脏脂肪达67%
DR10624在治疗重度高甘油三酯血症(SHTG)的II期临床研究(“DR10624-201研究”)中取得的重要成果
2025-11-09 21:31
资讯 Pi3K新突破,皮下新生态,罗氏携手各界共见乳腺癌创新诊疗未来
罗氏制药中国召开“Pi3K新突破&皮下新生态——乳腺癌创新发布会”,乳腺癌管线创新靶向药物集体亮相进博舞台
2025-11-08 19:53
资讯 美敦力康辉亮相第八届进博会,AiBLE™数智生态加速进化拓维
作为连续八年参展进博的“全勤生”,美敦力康辉携AiBLETM数智创新生态重磅亮相,并以“智汇·新生态”为主题,集中展示自2023年AiBLE™首秀进博以来,其在数智创新、产业协作与...
2025-11-08 14:09
资讯 索诺瓦进博会亚洲首展峰力AI人工智能太极全能系列助听器, “双芯协同超算力”突破听力健康新想象
全球同步,亚洲首发,中国首展,索诺瓦峰力强力推出AI人工智能太极全能系列助听器,开启AI超算力助听时代
2025-11-08 11:56
资讯 诺和诺德“诺和关怀”发布鸿蒙版APP与减重专属版
11月7日,第八届中国国际进口博览会期间,诺和诺德宣布2023年组建的“健康生态联盟”扩容升级,将与更多数字生态圈伙伴在生态融合、数据互联、技术共创方面展开深度合作。
2025-11-07 23:16
资讯 凯西罕见病事业部首秀进博会
凯西集团是一家以研发为基石、拥有九十年历史的意大利国际制药集团,覆盖呼吸道健康、罕见疾病和专科治疗三大领域,其专利数量在意大利药企中排名首位,公司每年投入超20%营收至...
2025-11-07 22:58













