在靶向β-淀粉样蛋白(amyloid β-protein, Aβ)的临床试验接连令人失望后,阿尔茨海默症(Alzheimer's disease,AD)领域的研究人员将更多的注意力放到了导致该疾病的另一“罪魁祸首”Tau蛋白上。
像Aβ一样,Tau蛋白会在AD患者大脑中聚集并损伤脑细胞,该蛋白与AD的相关性最早源于100多年前的一项发现:研究揭示,Tau蛋白是AD病理特征神经元纤维缠结的主要成分。虽然之后业界曾普遍认为,Tau聚集仅是AD疾病发展的结果,但一些新进展慢慢证实,Tau聚集可能是AD的致病因素。
12月18日,最新发表在Science Translational Medicine上的一篇论文中[1],来自美国的一个科学家小组揭示,通过抑制名为MSUT2 (mammalian suppressor of tauopathy 2)的基因来靶向异常的Tau显示出了希望。研究称,只要RNA结合蛋白PABPN1(PolyA Binding Protein Nuclear 1)不被“耗尽”,抑制MSUT2就有可能使人免受阿尔茨海默症的危害。
正常情况下,MSUT2与PABPN1紧密合作,以调节大脑中Tau的生物学。“而我们的新研究发现,如果在不影响PABPN1的情况下抑制MSUT2,就能够阻止Tau病理学的影响。” 华盛顿大学医学院领导该研究的Brian Kraemer解释道。
MSUT2分别与poly(A)RNA尾巴和PABPN1结合(图片来源:Science Translational Medicine)
早前,Kraemer及其同事曾利用秀丽隐杆线虫开展研究[2]。他们发现,虽然线虫没有复杂的认知功能,但它们的运动会受到Tau蛋白积累的影响,而敲除线虫的sut-2基因可逆转Tau的“破坏性”。
知识卡:sut-2全称为 suppressor of tauopathy 2,该基因编码的蛋白在从酵母到人类的所有物种中具有保守的同源性。MSUT2(也称为ZC3H14) 是线虫sut-2基因的哺乳动物同源基因。
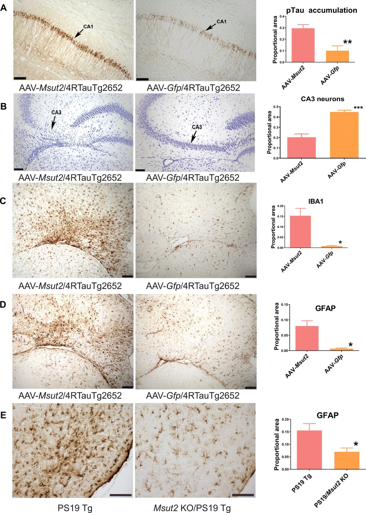
MSUT2增强小鼠大脑中的神经炎症、Tau病理和神经变性(图片来源:Science Translational Medicine)
在最新的研究中,科学家们在对来自阿尔茨海默症患者的尸检大脑样本进行检查时发现,病情更严重的患者既缺乏MSUT2蛋白,也缺乏其伴侣蛋白PABPN1。有意思的是,小鼠研究显示,缺乏MSUT2但PABPN1正常的小鼠可强烈对抗异常的Tau以及由其导致的大脑退化。
对比这一差异现象,Kraemer团队认为,帮助患者对抗异常的Tau聚集的关键可能是在阻断MSUT2的同时保证PABPN1的活性。
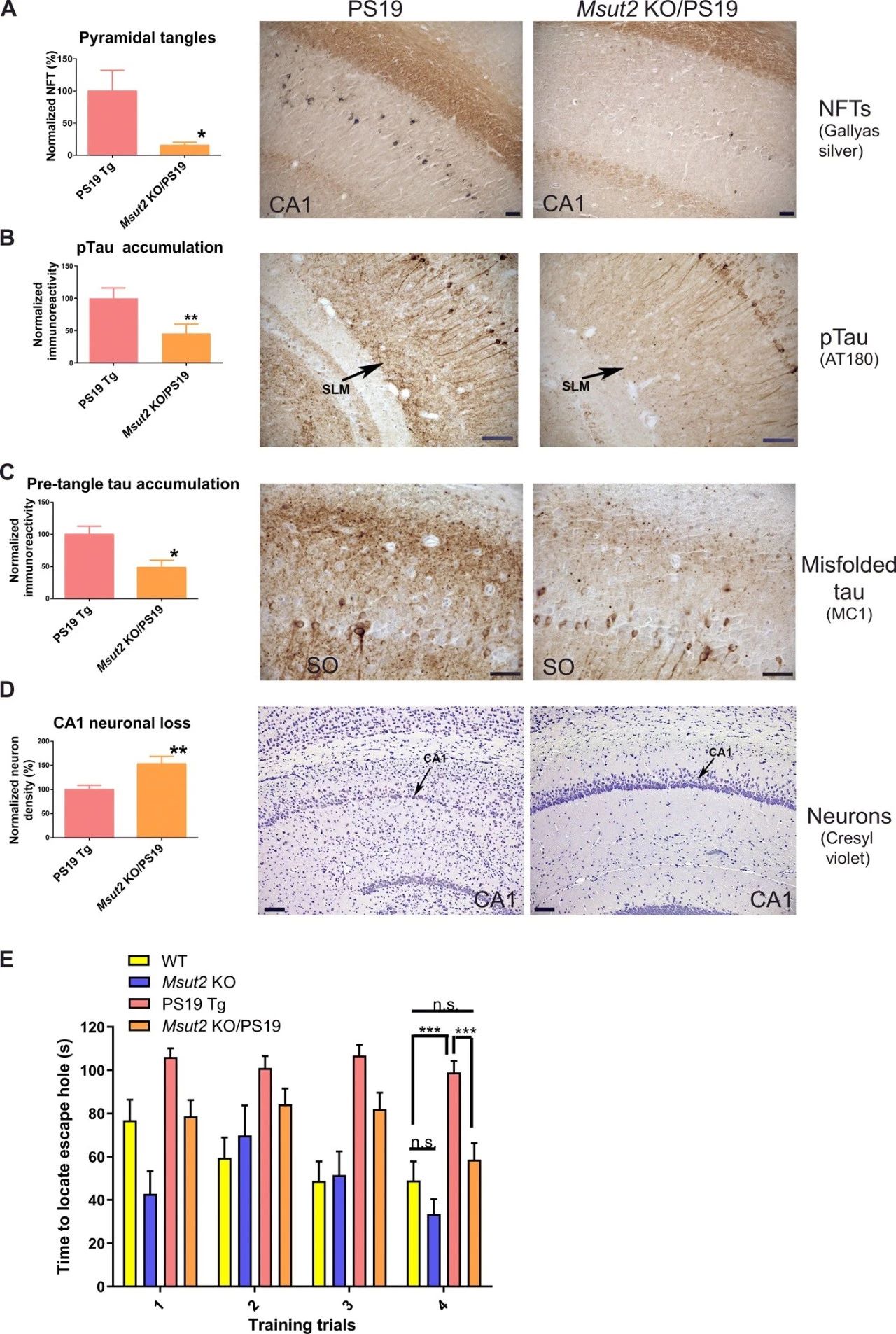
在小鼠中抑制MSUT2可防止Tau蛋白病(图片来源:Science Translational Medicine)
通过在小鼠中敲除MSUT2基因,他们成功阻止了可杀死脑细胞的Tau蛋白缠结的形成,并减轻了学习和记忆问题。
参与该研究的Jeanna Wheeler认为,这项研究的新颖之处在于发现了MSUT2基因的作用。“从线虫到小鼠,再到人类,我们证实了MSUT2与Tau毒性有关。靶向MSUT2的药物可能会成为治疗阿尔茨海默症的全新方法。”她说。
“近些年来,制药公司围绕Aβ投入了大量资金,但收效甚微。我认为该领域需要考虑同时靶向Aβ和Tau,因为在阿尔茨海默症中,这两种蛋白共同作用,杀死了神经元。我希望,我们的发现能够为其他研究人员或制药公司开展相关后续研究提供线索,最终实现治疗甚至治愈阿尔茨海默症的目标。”Kraemer补充道。
相关论文:
[1] Jeanna M. Wheele et al. Activity of thepoly(A) binding protein MSUT2 determines susceptibility to pathological tau in the mammalian brain. Science Translational Medicine(2019).
[2] Chris R. Guthrie et al. SUT-2 potentiates tau-induced neurotoxicity in Caenorhabditis elegans. Human Molecular Genetics(2009).
参考资料:
1# Alzheimer's study shows promise in protecting brain from tau(来源:华盛顿大学)
来源:曼话 医药魔方Pro
为你推荐
资讯 AI制药独角兽深度智耀完成6000万美元新一轮融资,加速全栈式研发解决方案落地
本轮融资吸引了信宸资本、金镒资本、凯泰资本等新投资方入局,老股东鼎晖百孚、新鼎资本持续追加投资
2026-02-03 20:03
资讯 济川药业联合康方生物,共拓心血管创新药商业化新局
伊喜宁®(伊努西单抗注射液)是康方生物自主开发创新的PCSK9单克隆抗体新药,于2024年9月获批上市,用于治疗原发性高胆固醇血症和混合型高脂血症,包括杂合子家族性高胆固醇血...
2026-02-03 19:34
拜耳诺倍戈®第三项适应症在中国获批,用于治疗转移性激素敏感性前列腺癌(mHSPC)
诺倍戈®此前已先后获批用于治疗有高危转移风险的非转移性去势抵抗性前列腺癌(NM-CRPC)成年患者,和联合多西他赛治疗转移性激素敏感性前列腺癌的(mHSPC)成年患者。
2026-02-03 18:42
资讯 又一款老花眼滴眼液获批,市场有待检验
近日,Tenpoint Therapeutics宣布,美国FDA已批准Yuvezzi(carbachol和brimonidine tartrate滴眼液,2 75% 0 1%),用于治疗成人老花眼。
2026-02-02 14:06
资讯 深度缓解数据惊艳:基于诺奖机制的 CELMoD药物如何重塑 MM 治疗逻辑?
近期,国家药品监督管理局药品审评中心(CDE)将CELMoD药物 iberdomide (以下简称:IBER)纳入优先审评名单并启动优先审评程序,拟批准
2026-02-02 13:22
资讯 儿童生长发育专业、儿童营养专业、儿童皮肤疾病专业纳入北京互联网诊疗首诊试点
经研究,同意你委依托首都医科大学附属北京儿童医院和首都医科大学附属首都儿童医学中心开展儿童生长发育专业、儿童营养专业、儿童皮肤疾病专业互联网诊疗首诊试点。
2026-01-31 23:34
资讯 诺和诺德大中国区换帅:周霞萍3月底离任,“老兵”蔡琰接棒
1月30日,全球制药巨头诺和诺德正式对外宣布重大人事变动,其全球高级副总裁兼大中国区总裁周霞萍决定离开公司,最后工作日为2026年3月31日
2026-01-31 17:36
资讯 思璞锐SciBrunch完成超3500万美元Pre-A轮融资,一年内两轮合计募资6500万美元
本次Pre-A轮融资由生物医药领域知名投资机构弘晖基金(HLC)领投,InnoPinnacle Fund跟投,同时获得老股东汉康资本、博远资本、LongRiver江远投资及骊宸投资的持续加码支持。
2026-01-31 17:30
资讯 阿斯利康宣布将于2030年前在华投资逾1000亿元人民币,与石药集团达成超百亿美元战略合作
1月29日,阿斯利康宣布,计划于2030年前在中国投资逾1000亿元人民币(150亿美元),以扩大在药品生产与研发领域的布局。公司将充分发挥中国的科研优势和先进制造能力,并依托中...
2026-01-30 13:00
资讯 从“无差别轰炸”到“定点爆破”,我国二线HER2阳性胃癌治疗迎来靶向ADC新突破
近日,优赫得®(注射用德曲妥珠单抗)正式获得中国国家药品监督管理局(NMPA)批准,单药用于治疗既往接受过一种含曲妥珠单抗治疗方案的局部晚期或转移性HER2阳性成人胃或胃食...
2026-01-29 18:54
资讯 18个区域,中医优势病种按病种付费试点地区明确
根据《关于开展中医优势病种按病种付费试点工作的通知》要求,国家医保局、国家中医药局组织专家对申报中医优势病种按病种付费试点的地区开展遴选,经相应程序,确定北京、河北...
2026-01-29 18:16
资讯 合成生物创新企业康诺生物递交港交所上市申请
康诺生物核心业务聚焦于线粒体功能障碍相关疾病的研究,专注于NAD+抗心血管疾病、NAD+抗生殖功能障碍、NAD+抗神经退行性疾病和NAD+抗衰老等领域的科学应用
2026-01-29 18:15
资讯 奥纳再生完成数千万天使轮融资,加速异种移植技术产业化落地
本轮融资由达安创谷领投,黎曼猜想担任独家财务顾问,所筹资金将主要用于核心技术平台建设、现有产品管线研发推进及IND申报工作,助力公司加速异种移植技术的产业化落地,破解全...
2026-01-29 18:00











